
Rediscover Your Best Smile Here
Welcome to Winfield Dental Studio, where your comfort and care come first. Our dedicated team is committed to providing high-quality dental services in a friendly and welcoming environment. We believe in a patient-centered approach, offering personalized treatments to meet your unique needs and achieve your best smile. Whether you're here for a routine check-up or more advanced care, we’re here to ensure a positive experience for the whole family.
LeARN mORE

Tailored Solutions for Your Dental Needs

Cosmetic Dentistry
Personalized cosmetic dental treatments that fix stains, chips, gaps, and more.

Emergency Care
Dental emergencies can happen at any time, which is why we offer prompt and professional care to patients.

Dental Implants
If you have lost your teeth, dental implants can restore your beautiful smile, permanently.
Your Smile Is in Good Hands
Meet the Faces Behind Your Smile
Our dedicated team is the heart of our practice, bringing warmth, experience, and professionalism to every patient visit. From the front desk to the treatment chair, each team member is committed to making you feel welcome, informed, and at ease. We take pride in delivering personalized care while staying up to date with the latest advancements in dentistry. You're not just a patient here—you’re part of our dental family.
Meet The Dentists
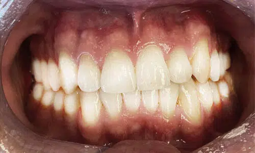
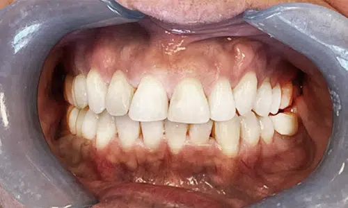
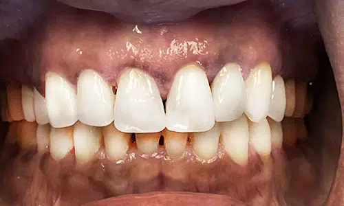
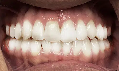
Smile Transformations
Reveal your most radiant smile with personalized, high-end care. Subtle enhancements, stunning results—designed just for you.






















